Metamorfozy uśmiechu

Nowoczesna stomatologia oferuje wyjątkowe możliwości przemiany Twojego uśmiechu.

Dzięki zaawansowanym technologiom możemy osiągnąć spektakularne efekty, które nie tylko poprawią estetykę Twojego uśmiechu, ale także pozytywnie wpłyną na Twoje samopoczucie i pewność siebie.

Nawet małe zmiany w kształcie i kolorze zębów mogą wywołać zaskakujący efekt odmładzający, który odświeży wygląd całej twarzy. Innowacyjne metody pozwalają nam na przeprowadzenie każdej metamorfozy uśmiechu z niesamowitymi rezultatami, które zachwycają naszych Pacjentów.

Nasze Metamorfozy Uśmiechu

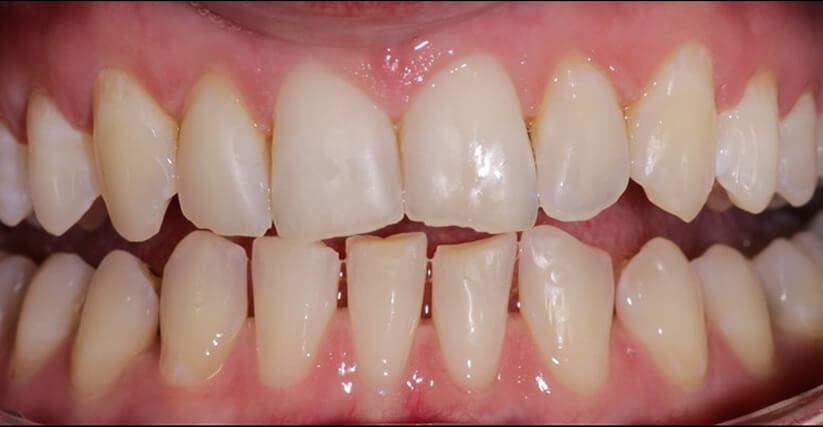
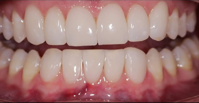
PRZED PO
Pacjentka była niezadowolona z koloru, kształtu oraz płaszczyzny swoich zębów. Po przeprowadzeniu metamorfozy uśmiechu przy użyciu koron pełnoceramicznych, pacjentka cieszy się nowym, estetycznym uśmiechem. Zastosowanie nowoczesnych metod pozwoliło na osiągnięcie naturalnego wyglądu i zdrowego koloru zębów.
PRZED PO

Pacjentka odczuwała dyskomfort spowodowany starciem zębów oraz widocznymi ciemnymi przestrzeniami między nimi. Niektóre zęby były wychylone, co wpływało na estetykę i komfort życia. Po zastosowaniu koron pełnoceramicznych pacjentka cieszy się nowym uśmiechem wolnym od dyskomfortu i niedoskonałości.

PRZED PO
Pacjentka z brakami w odcinkach bocznych. W strefie uśmiechu widoczne tylko 4 niesymetryczne siekacze. Nowy uśmiech pacjentki wykonano koronami cyrkonowymi. Praca po 2,5 roku użytkowania.
PRZED PO

PRZED: Pacjentka po przygotowawczym etapie ortodontycznym. Nadal widoczna asymetria „jedynek” górnych oraz niezadowalająca estetyka. PO: Pacjentka po założeniu koron pełnoceramiczych w odcinku przednim szczęki – widoczna znaczna poprawa estetyki.

PRZED PO

Pacjentka po przygotowaniu ortodontycznym i wybielaniu. Zamknięcie przestrzeni międzyzębowych, odbudowa startych powierzchni zębów, uzyskanie symetrii uśmiechu za pomocą bondingu bez ingerencji w strukturę zębów.

PRZED PO

zasami wystarczy niewielka korekta kształtu, by całkowicie odmienić uśmiech. W tym przypadku postawiliśmy na bonding siekaczy górnych. Poprzez delikatne wydłużenie i poszerzenie zębów, uzyskaliśmy proporcje idealnie dopasowane do rysów twarzy pacjenta.

Szybko, przewidywalnie i z dbałością o każdy milimetr.